Mẹo làm sạch cao răng giúp bạn tiết kiệm cả đống tiền
Chủ nhật, 04/02/2018
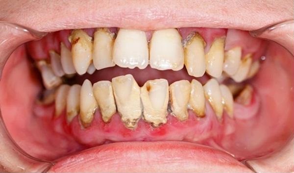
Cao răng cũng có thể gây bệnh viêm nha chu dẫn đến tiêu xương, làm cho răng bị đau, ê buốt khi ăn uống và nặng hơn thì có thể gây lung lay, rụng răng. Ngoài ra, cao răng còn gây ra bệnh viêm tủy ngược dòng rất nguy hiểm. Sử dụng cách lấy cao răng bằng muối theo những phương pháp dưới đây, bạn sẽ loại bỏ cao răng, các mảng bám ố vàng đơn giản mà không tốn tiền đi nha sĩ.
Cao răng tích tụ quá lâu sẽ ảnh hưởng đến thẩm mỹ cũng như sức khỏe răng lợi.
Cao răng cũng có thể gây bệnh viêm nha chu dẫn đến tiêu xương, làm cho răng bị đau, ê buốt khi ăn uống và nặng hơn thì có thể gây lung lay, rụng răng. Ngoài ra, cao răng còn gây ra bệnh viêm tủy ngược dòng rất nguy hiểm. Sử dụng cách lấy cao răng bằng muối theo những phương pháp dưới đây, bạn sẽ loại bỏ cao răng, các mảng bám ố vàng đơn giản mà không tốn tiền đi nha sĩ.
Lạc

Sử dụng lạc giúp răng trắng cực nhanh.
Nguyên liệu: Lạc sống
Phương pháp: Nhai vụn lạc sống, lấy vụn lạc đó làm kem đánh răng để đánh răng, sẽ cho hàm răng trắng bóng.
Vỏ quýt
Nguyên liệu: Vỏ quýt phơi khô
Phương pháp: Nghiền vỏ quýt phơi khô thành bột, trộn chung với kem đánh răng để đánh răng, răng sẽ trắng rất nhanh.
Cách phòng cao răng
Đánh răng đúng cách. Đây là bước quan trọng nhất trong quá trình chăm sóc sức khỏe răng miệng của bạn. Đánh răng đúng cách là phải làm sạch được tất cả các mặt răng, nhất là mặt kẽ giữa 2 răng và phần ở cổ răng tiếp giáp với bờ lợi. Để làm sạch bề mặt răng ở giáp bờ lợi thì bạn để lông bàn chải nghiêng về phía bờ lợi, tạo thành một góc 450 với trục của răng và đưa đi đưa lại theo chiều ngang. Nhưng mà chải răng theo hướng ngang thì lại không làm sạch được mặt kẽ giữa 2 răng. Vì vậy, để làm sạch ở vùng kẽ răng thì bạn phải chải răng theo hướng xoay tròn hoặc đưa nhẹ từ phía lợi lên phía mặt răng, để làm sạch được mảng bám răng ở vùng kẽ.
Một ngày chải răng 2 lần: sáng và tối trước khi đi ngủ. Bạn nên dùng các loại kem đánh đánh răng có fluoride và các loại nước súc miệng. Sử dụng chỉ tơ nha khoa sẽ giúp loại bỏ các mảng bám trên 2 mặt bên của răng (các kẽ răng), điều mà bàn chải không thể làm được.
Húng quế
Húng quế vốn là một loại gia vị không thể thiếu với một số món ăn của người Việt. Với hương vị thơm ngon và đặc trưng, mới đây các nhà khoa học đã tiến hành nghiên cứu và phát hiện ra húng quế còn có 1 khả năng vô cùng thú vị: làm trắng răng tự nhiên và bảo vệ nướu răng khỏi các vấn đề như chảy máu, mưng mủ rất hiệu quả.

Có nhiều cách để chăm sóc răng miệng bằng loại rau đặc biệt này mà bạn có thể áp dụng như ăn sống rau húng quế, súc miệng với nước ép húng quế…Nhưng đánh răng với bột quế vẫn được đánh giá là cách làm hiệu quả và mang lại tác dụng lâu dài nhất.
Nguyên liệu cần có:
- 1 nắm rau húng quế
- 1 thìa kem đánh răng vừa đủ dùng
- Dụng cụ hỗ trợ: Bát, thìa,…

Thực hiện:
Bước 1: Rau húng quế nhặt lấy những lá xanh, non và bỏ những lá úa vàng, xấu xí đi. Sau đó, bạn đem rửa thật sạch và để ráo nước.

Bước 2: Phơi khô húng quế dưới ánh nắng đến khi chúng khô lại thì đem xay ra dưới dang bột là có thể dùng được.

Bước 3: Mỗi lần dùng, bạn trộn thêm 1 ít bột húng quế với lượng kem đánh răng vừa đủ và tiến hành chải răng như bình thường. Những tinh chất của húng quế kết hợp với kem đánh răng giúp đánh bay mảng bám, ố vàng, trả lại cho bạn hàm răng trắng bóng tự nhiên.

Phơi khô húng quế giúp bạn tiết kiệm được nhiều thời gian, bạn có thể làm nhiều một chút rồi bảo quản trong lọ thật khô, để nơi khô ráo thoáng mát để dùng dần mà không lo ảnh hưởng đến chất lượng của húng quế. Không chỉ làm trắng răng mà đánh răng bằng bột húng quế thường xuyên cũng giúp hơi thở thơm tho suốt cả ngày.

Lưu ý:
- Hạn chế sử dụng đồ uống có cồn, nước có gas để bảo vệ men răng.
- Tăng cường các loại hoa quả, trái cây, rau củ quả vừa hạn chế khả năng tích tụ cao răng, vừa tốt cho làn da và sức khỏe
- Đánh răng đều đặn 2 lần/ngày.
Hoàng Trang tổng hợp
Tags
Bài viết cùng chuyên mục
- Sài Gòn có 1 ngôi trường cổ hơn 100 năm tuổi
- Vì sao nên ăn khoai lang?
- 6 hiện tượng thiên văn kỳ thú xuất hiện trong tháng 6 tại Việt Nam
- Cô giáo vùng cao yêu nghề, mến trẻ
- Lịch sử và ý nghĩa ngày Quốc tế Phụ Nữ 8/3
- Hướng dẫn cách ăn hải sản không gây dị ứng, ngộ độc
- Cách bố trí ăn uống trong dịch corona
- Cách chống nồm và phơi quần áo nhanh khô
- 6 thực phẩm ăn vào bữa sáng làm sáng da, chống lão hóa
- Cách bảo quản thực phẩm Tết được dài ngày
Đăng nhập để gửi bình luận
Bình luận